プロの歯科医師からも選ばれる、確かな歯科医療
〒104-0061東京都中央区銀座6-3-11 西銀座ビル1F Google Mapはこちら
地下鉄丸ノ内線 銀座駅 C2番出口 徒歩4分地下鉄日比谷線 銀座駅 B7番出口 徒歩5分銀座駅から320m
クリニックについて
治療メニュー
2025.10.02
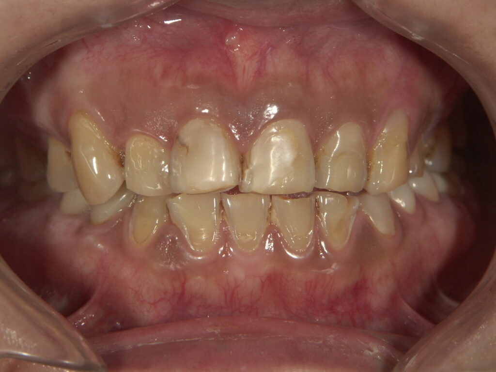
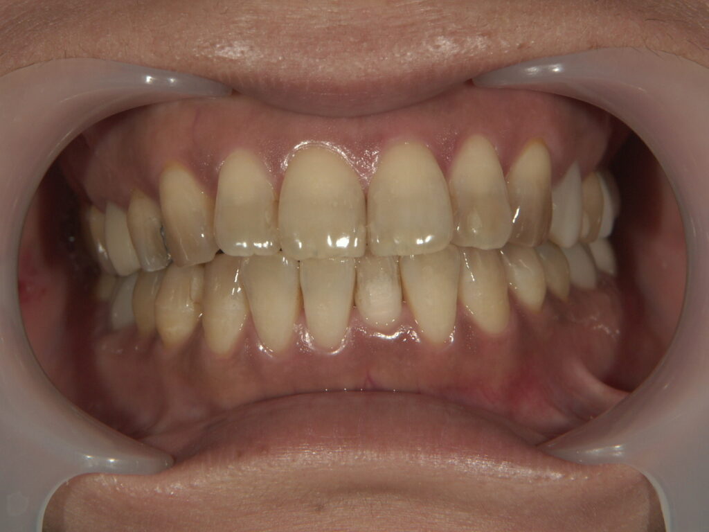
年齢:50代女性
年齢:30代女性