症例紹介 CASE

セラミック

2025.10.07

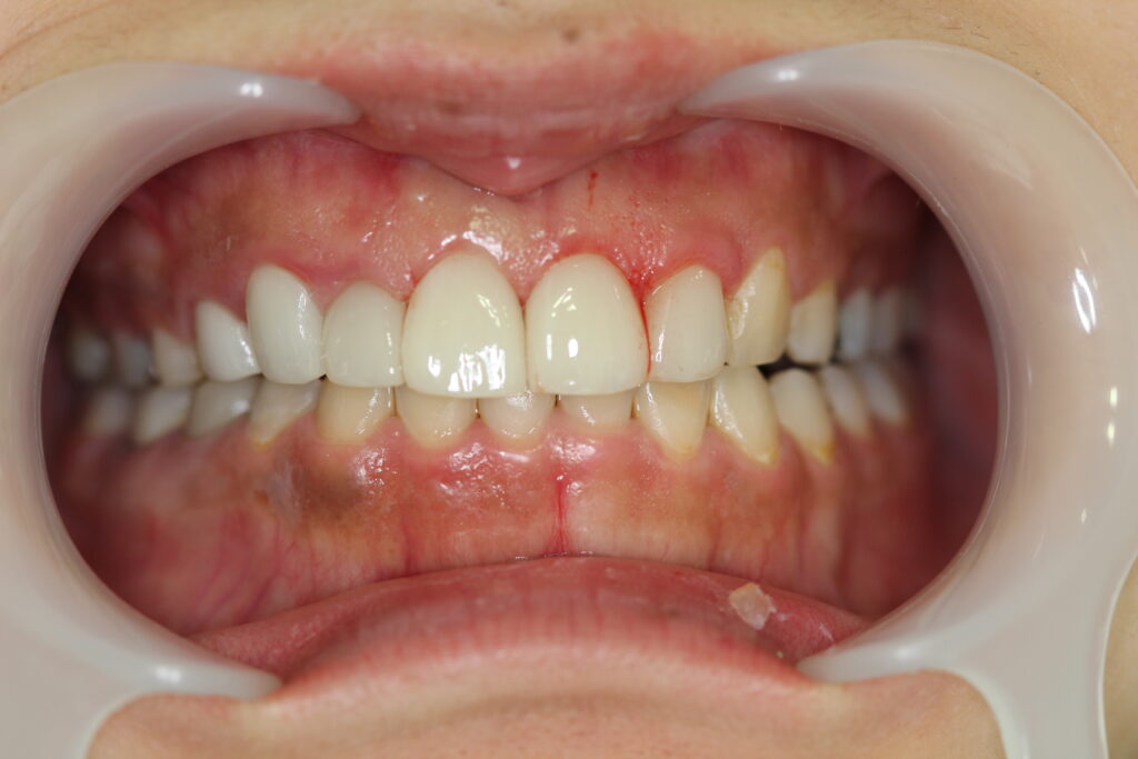
e-max 20代女性

年齢:20代女性

一覧へ戻る