症例紹介 CASE

セラミック

2025.10.07

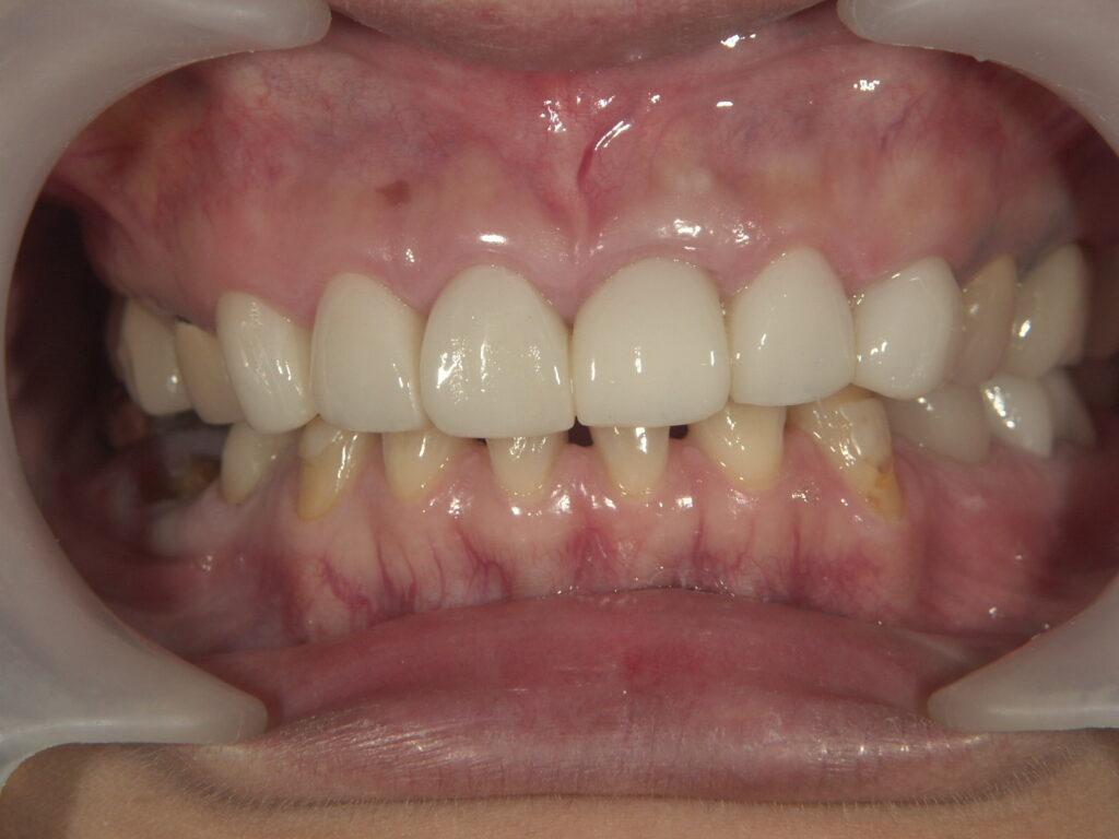
e-max(上) フルジルコニア(下) 30代女性

年齢:30代女性

一覧へ戻る