症例紹介 CASE

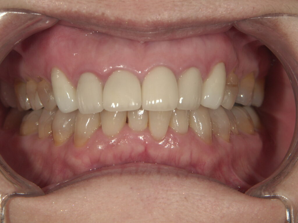
セラミック

2025.10.07

フルジルコニア 40代女性

年齢:40代女性

一覧へ戻る